Mein Aufenthalt im Klinikum Heidenheim brachte eine unverzüglich angeordnete MRT-Untersuchung mit sich: Es sollte geklärt werden, ob meine Schmerzen von Abzessen in den Zysten herrühren – was zum Glück ausgeschlossen werden konnte.
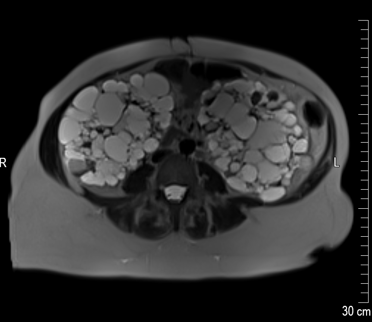
Wie immer blicke ich voller Staunen, Ekel und Angst auf „meine“ Nieren und bewundere die Errungenschaften der modernen Medizin, die sichtbar machen, was ich täglich spüre.



Die linke Niere ist circa 25 cm lang. Der große weiße Fleck unten ist eine der größten Zysten mit einer Länge von circa 8 cm. Die Niere ist so voluminös, dass sie eine richtige Beule ausformt. Die ist tatsächlich an meinem Körper sicht- und spürbar! In der rechten Niere befinden sich kleinere Zysten, dafür – so sieht es auf dem Bild aus – viel mehr als in der linken Niere. Alle anderen inneren Organe müssen den Nieren weichen – was mittlerweile zu starken Magenproblemen und teilweise auch Atemnot führt.
Es führt kein Weg mehr daran vorbei: Ich muss die linke Niere operativ entfernen lassen. Um Platz zu machen für ein mögliches Spenderorgan. Und um meinen Körper allgemein etwas zu entlasten.